Your Smile Starts with SmileWell

Professional Dental Care You Can Trust

State-of-the-Art Equipment

Modern technology for precise, comfortable treatment

Quality Affordable Care

Serving individuals and families in Ado, Nasarawa & surrounding areas

πŸ•— Open 7 Days a Week ● Monday – Sunday  |  8:00 AM – 6:00 PM ● πŸ“ Ado, Nasarawa State

Smile Transformations

Real results from professional dental care at SmileWell Dental Clinic.

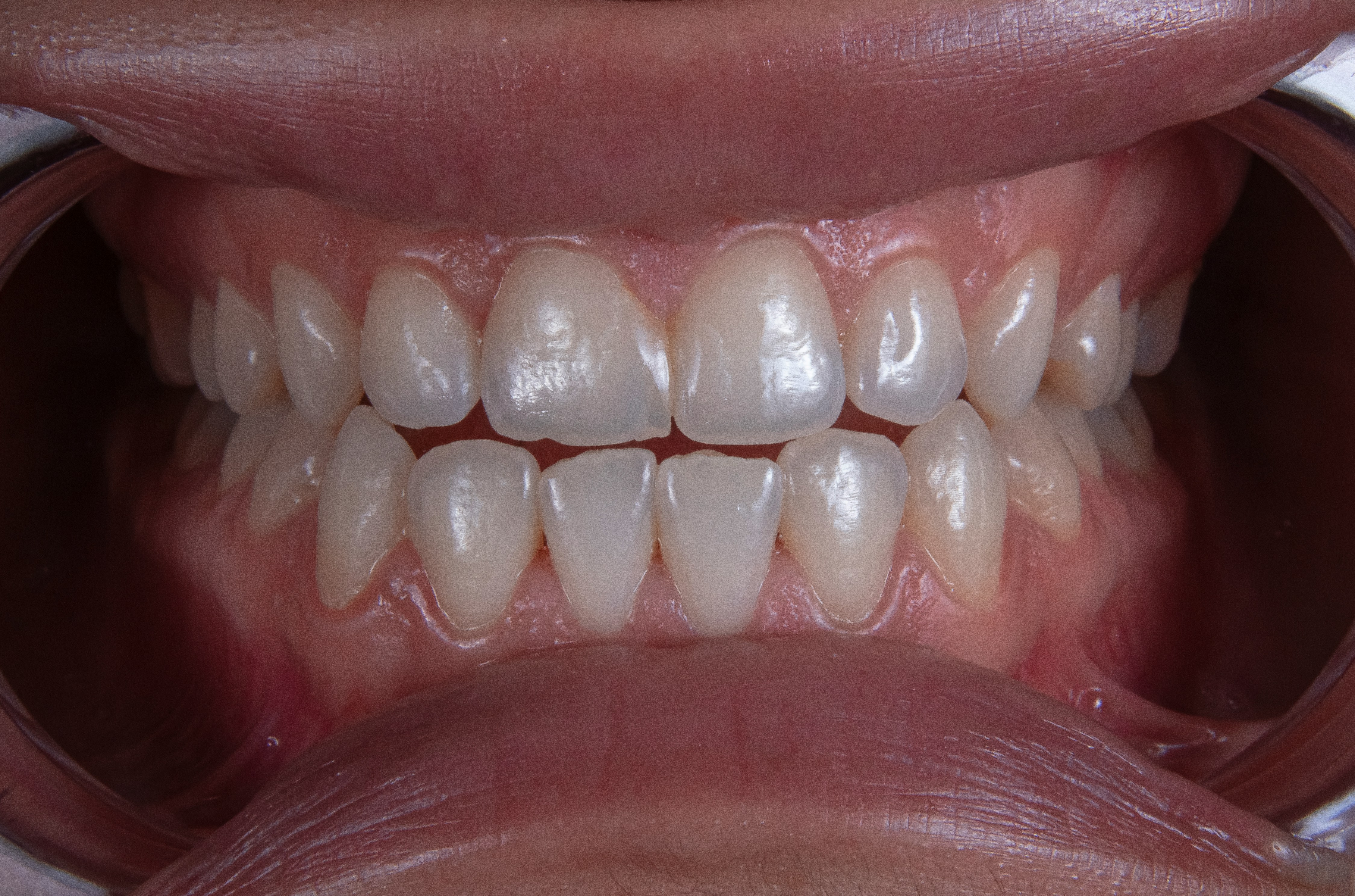
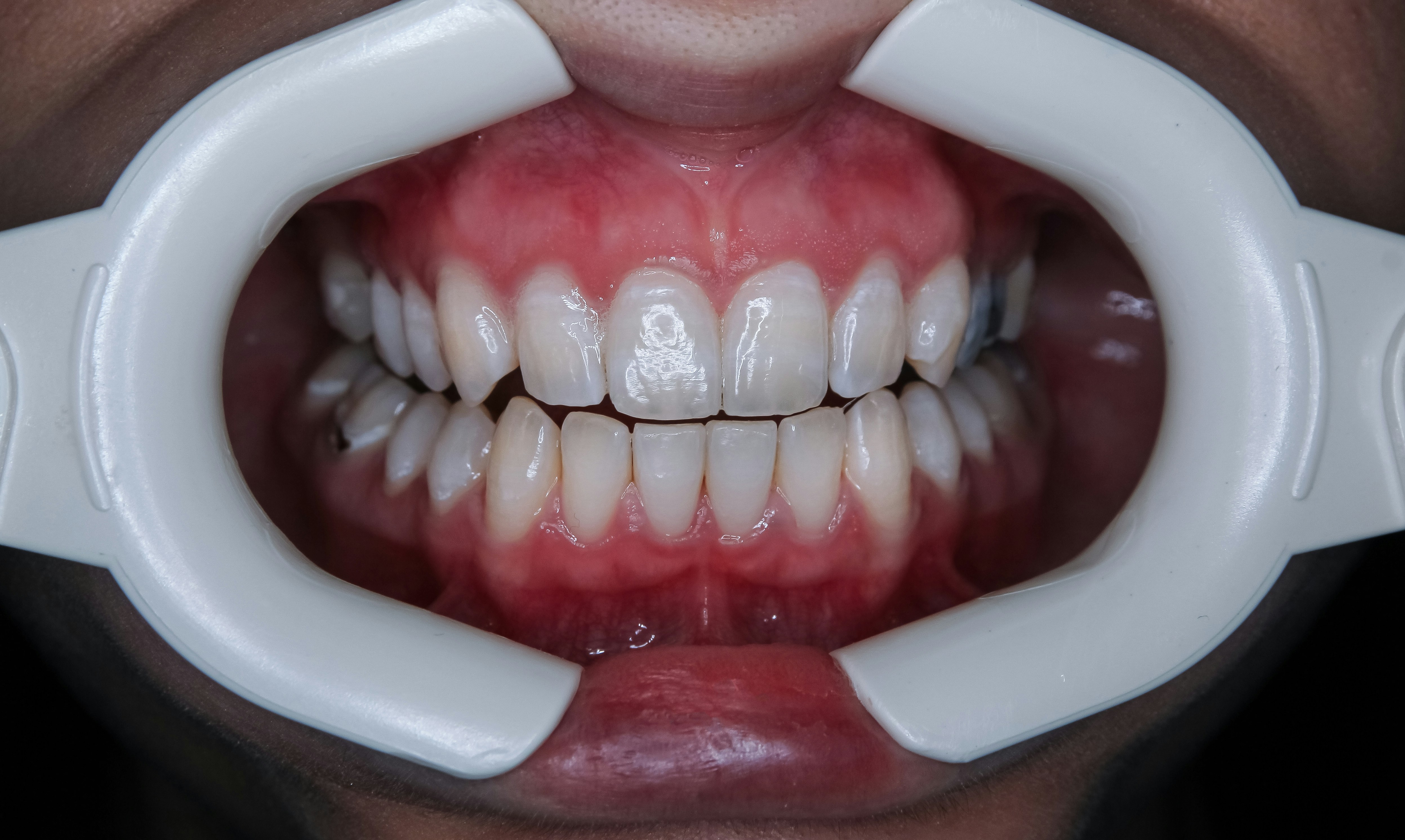
Before teeth whitening After teeth whitening

Teeth Whitening

Professional whitening to remove stains and restore a brighter smile.

Before composite filling After composite filling

Composite Filling

Composite filling is a tooth-colored material used to fix cavities and restore damaged teeth.

Before teeth bracing After teeth bracing

Teeth Bracing

Teeth bracing uses braces to straighten teeth and improve alignment.

Our Modern Facility

State-of-the-art equipment for precise, comfortable treatment.

Dental examination at SmileWell Ado

Professional Dental Examination

Modern diagnostic tools for accurate oral assessment.

Dental instruments

Sterile Dental Instruments

Clean, safe, and industry-standard equipment.

Dental chair SmileWell clinic

Comfortable Treatment Setup

Designed for patient comfort and precision care.

Our Services

General Dental Care

Teeth calculus removal, scaling & polishing, dental fillings, tooth removal & extractions, crowns, onlays & bridges, general check-ups.

Cosmetic Dentistry

Teeth whitening, cosmetic braces, teeth arrangement, oral aesthetics.

Advanced Treatments

Treatment of mouth odour and gum disease, jaw tumors/cancers, jaw fixing, IMF for weight reduction and accident cases.

Our Vision

To provide our patients with 100% oral health care and the best in cosmetic dental services.

What Our Patients Say

Trusted by individuals and families for quality dental care.

β˜…β˜…β˜…β˜…β˜…

The staff were very professional and caring. My treatment was painless, and I'm happy with my smile.

Verified Patient

β˜…β˜…β˜…β˜…β˜…

I was nervous at first, but the dentist explained everything clearly. The service was excellent and very clean.

Cosmetic Dentistry Client

β˜…β˜…β˜…β˜…β˜…

From consultation to treatment, everything was smooth. The environment is calm and professional.

Satisfied Patient

Looking for a Dentist Near You?

Patients searching for a dentist or dental clinic near them in Ado, Karu, New Karu Junction, and across Nasarawa State trust SmileWell for professional, compassionate dental care. We are open 7 days a week walk-ins welcome.

πŸ“

Easy to Find

Suite 205, Osinachi Plaza, Opp. New Karu Junction, Ado, Nasarawa

πŸ•—

Open Every Day

Monday – Sunday
8:00 AM – 6:00 PM

🦷

Walk-ins Welcome

No appointment needed for general check-ups and consultations

πŸ“ž

Call Us Directly

08150323260
08091246942

Book an Appointment

About SmileWell Dental Clinic

For over 20 years, SmileWell Dental Clinic has been providing gentle, reliable, and modern dental care to families and individuals in Ado, Nasarawa State and surrounding communities.

Our long-standing practice is built on experience, patient trust, and a commanding commitment to healthy, confident smiles.

Dental Consultancy

Get expert guidance on oral health, cosmetic dentistry, and preventive care from our experienced dental professionals.

General Consultation

Complete dental checkups and treatments tailored to your needs.

Teeth Whitening Advice

Brighten your smile with professional whitening services.

Orthodontic Guidance

Get personalized advice on braces and alignment solutions.

Emergency Care

Immediate assistance for dental pain, accidents, or other emergencies.

Days: Monday - Sunday

Time: 8:00 AM - 6:00 PM

Address:
SmileWell Dental Clinic. Suite 205, Osinachi Plaza Opp. New Karu Junction, Ado, Nasarawa State

Phone: 08150323260, 08091246942, 08062152644, 09056459076

πŸ“ž Call Now   Chat on WhatsApp